Tải bản đầy đủ (.pdf) (35 trang)

Chẩn đoán hình ảnhXquang Gan mật

Bạn đang xem bản rút gọn của tài liệu. Xem và tải ngay bản đầy đủ của tài liệu tại đây (1.62 MB, 35 trang )

Chẩn đoán hình ảnh
Xquang Gan mật


Các ph- ơng pháp thăm khám gan và đ- ờng mật

1. Bụng không chuẩn bị
2. Chụp cản quang túi mật bằng đ- ờng uống
3. Chụp cản quang đ- ờng mật bằng tĩnh mạch
4. Chụp cản quang đ- ờng mật
4.1. Qua da
4.2. Qua Kehr sau mæ
4.3. Trong mæ
4.4. Qua néi soi ng- ợc dòng.
5. Siêu âm
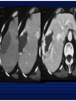
6. CLVT
7. CHT
8. Đồng vị phóng x¹


Các ph- ơng pháp thăm khám gan và đ- ờng mật

1. Bụng không chuẩn bị:
(Nhắc lại giải phẫu)

Gan trái
Gan phải
Túi mËt


Các ph- ơng pháp thăm khám gan và đ- ờng mật



1. Bụng không chuẩn bị:
Chụp gan xa (1,5-2m)
Mục đích:
- kích th- ớc gan:
ĐK hoành-đỉnh: 14-16,5 cm
ĐK hoành-cột sống: 9-12 cm
- hình cản quang vùng gan mật


Các ph- ơng pháp thăm khám gan và đ- ờng mật

1. Bụng không chuẩn bị:
Chụp gan xa (1,5-2m)
Mục đích:
- kích th- ớc gan:
ĐK hoành-đỉnh: 14-16,5 cm
ĐK hoành-cột sống: 9-12 cm
- hình cản quang vùng gan mật


Các ph- ơng pháp thăm khám gan và đ- ờng mật

1. Bụng không chuẩn bị:

- Sỏi cản quang túi mật
- Viêm túi mật mạn: túi mật hình sứ
- Viêm túi mật cấp: khí thũng túi mật
- Hơi đ- ờng mật
- Bãng tói mËt to



Các ph- ơng pháp thăm khám gan và đ- ờng mật

1. Bụng không chuẩn bị:


Các ph- ơng pháp thăm khám gan và đ- ờng mật

1. Bụng không chuẩn bị:


Các ph- ơng pháp thăm khám gan và đ- ờng mật

1. Bụng không chuẩn bị:


Các ph- ơng pháp thăm khám gan và đ- ờng mật

1. Bụng không chuẩn bị:


Các ph- ơng pháp thăm khám gan và đ- ờng mật

1. Bụng không chuẩn bị:


Các ph- ơng pháp thăm khám gan và đ- ờng mật

1. Bụng không chuẩn bị:



Các ph- ơng pháp thăm khám gan và đ- ờng mật

2. Chụp cản quang túi mật bằng đ- ờng uống:

BN uống hợp chất
Iode-ruột-máu-gantúi mật
Mục đích:
- hình dạng TM
- sỏi TM, u tói mËt


Các ph- ơng pháp thăm khám gan và đ- ờng mật

3. Chụp cản quang đ- ờng mật qua da:

Chọc kim xuyên qua
da, nhu mô gan tới
đ- ờng mật
Chỉ định: GiÃn tắc
đ- ờng mật cơ giới do
sỏi, do u đ- ờng mËt.


Các ph- ơng pháp thăm khám gan và đ- ờng mật

4. Chụp cản quang đ- ờng mật qua Kehr:

Chỉ định:

- Có sót sỏi hay không
- Tình trạng l- u thông
đ- ờng mật
- Đánh giá hình ảnh
các nhánh đ- ờng mật


Các ph- ơng pháp thăm khám gan và đ- ờng mật

5. Chụp cản quang đ- ờng mật trong mổ:

Mục đích:
- Tìm sỏi sót trong
đ- ờng mật
- Tình trạng l- u thông
đ- ờng mật
- Đánh giá hình ảnh
các nhánh đ- ờng mËt


Các ph- ơng pháp thăm khám gan và đ- ờng mật

6. Chụp cản quang đ- ờng mật qua nội soi ng- ợc dòng:

Đ- a ống nội soi mềm
tới DII, đặt Catheter qua
Vater vào OMC, bơm
cản quang.
Mục đích:
- Chẩn đoán nguyên

nhân tắc mật (sỏi, u)
- Điều trị: gắp sỏi-giun,
đặt dẫn l- u ®- êng mËt


GiảI phẫu đ- ờng mật trong và ngoàI gan

ống gan trái
ống gan phải
ống gan chung
ống túi mật
túi mật
ống mật chủ

tá trµng


GiảI phẫu đ- ờng mật trong và ngoàI gan

ống cổ mật
cổ túi mật
tá tràng
thân túi mật

ống gan chung

ống mật chủ


Một số hình ảnh bệnh lý chính của gan và đ- ờng mật


1. Sỏi túi mật:

Bụng không chuẩn bị

Uống cản quang


Một số hình ảnh bệnh lý chính của gan và đ- ờng mật

1. Sỏi túi mật:
Bụng không chuẩn bị

Chụp túi mật cản
quang đ- ờng uống


Một số hình ảnh bệnh lý chính của gan và ®- êng mËt

2. T¾c mËt:
2.1. Chơp Kehr kiĨm tra sái ®- êng mËt:

Chôp ®- êng mËt qua Kehr


Một số hình ảnh bệnh lý chính của gan và ®- êng mËt

2. T¾c mËt:
2.1. Chơp Kehr kiĨm tra sái ®- êng mËt:



Một số hình ảnh bệnh lý chính của gan và ®- êng mËt

2. T¾c mËt:
2.1. Chơp Kehr kiĨm tra sái ®- êng mËt:


Một số hình ảnh bệnh lý chính của gan và ®- êng mËt

2. T¾c mËt:
2.1. Chơp Kehr kiĨm tra sái đm:

CĐ phân biệt: hơi qua Kehr


×