Tải bản đầy đủ (.ppt) (15 trang)

bài giảng ct não trẻ em

Bạn đang xem bản rút gọn của tài liệu. Xem và tải ngay bản đầy đủ của tài liệu tại đây (1.07 MB, 15 trang )


CT NAÕO TREÛ EM

KỸ THUẬT:

Cố đònh bệnh nhân: +/- gây mê.

Lát cắt axial: 2-3mm tầng dưới lều, 3-5mm
tầng trên lều.

+/- Lát cắt coronal ( hoặc tái tạo)

Cửa sổ:

Nhu mô não WL:40, WW: 80-200 ( chất trắng
30HU, chất xám 40HU)

+/- Cửa sổ xương ( khảo sát cấu trúc xương, đóng
vôi)

THUỐC CẢN QUANG TM (CE)

Iode tan trong nước.

Không qua hàng rào máu – não.

Cấu trúc bình thường bắt CE: Tuyến yên,
màng não, mạch máu ( ĐM, TM, plexus
choroids).

Tổn thương bắt CE:



Tổn thương hàng rào máu – não

Mạch máu tân sinh không có hàng rào máu – não.


Phân bố mạch máu:

Động mạch mão trước

Động mạch não giữa

Động mạch não sau

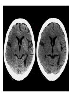
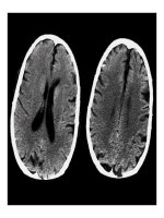
TRIỆU CHỨNG HỌC:

Bất thường hình thái giải phẫu.

Tổn thương:

Vò trí tổn thương

Đậm độ tổn thương trước và sau chích thuốc cản
quang.

Hiệu ứng choán chỗ

Phù não






Tài liệu bạn tìm kiếm đã sẵn sàng tải về

Tải bản đầy đủ ngay
×