Tải bản đầy đủ (.pdf) (4 trang)

Chản đoán hình ảnh sỏi đường mật và sỏi túi mật ppsx

Bạn đang xem bản rút gọn của tài liệu. Xem và tải ngay bản đầy đủ của tài liệu tại đây (93.66 KB, 4 trang )

Chản đoán hình ảnh sỏi đường mật và sỏi túi mật

Đai cương:
Bình thương các óng mật trong các hạ phân thuỳ gan phải tập hợp thành ống gan
phải ,và tương ứng bên trái tập hợp thành ống gan trái ở mức rốn gan.ống gan phải
và trái có khẩu kính <2mm,thành mảnh,trong được lót lớp tế bào thượng bì,ngoài là
mô xơ,sợi đàn hồi và một số sợi cơ trơn
Hệ thống đường mạt ngoài gan:vừa ra khỏi rốn gan hai ống gan P Và T hợp lại thành
ống gan chung.ống gan chung hợp với ống túi mật tọ thành ống mật chủ.Đường kính
của OGC khoảng 4-5mm,đường kính OMC khoảng 5-6mm.
Túi mật có hình quả lê dài 6-8cm,rộng 3-4 cm,thành dày <3mm,gồm đáy, thân
,cổ.ống túi mật dài 2-6cm.
Bệnh sỏi mật là bệnh mạn tính hay gặp đứng sau bệnh loét dạ dày tá tràng.
Một số bẹnh hay kèm theo sỏi mật: viêm tuỵ,xơ gan,bệnh ruột non…
Yếu tố thuận lợi:Phụ nữ,béo thai nghén,di truyền…
Thành phần sỏi:Cholesterol đơn thuần,cholesterol phối hợp với muối mật…


II_Lâm sàng;
-Hội chứng đau bụng cấp;Đau quặn gan ở vùng thượng vị,đầybụng,đau lan lên vai
phải,lưng phải
-Cơn đau kéo dài vài giờ hay vài ngày,hay đau về đêm
-Có thể nôn,buồn nôn
-Tắc ruột phản xạ
-Biến chứng của sỏi mạt: nhiễm khuẩn,tắc mật,viêm tuỵ,ung thư hoá…
III_Chẩn đoán hình ảnh;
1-X_Quang thường qui:
Sỏi mật ít khi cản quang
Trong một số trường hợp;thấy hình ảnh đặc thù là một hay nhiều hình có nhiều vòng
cản quang đồng tâmvà nằm phí trước cột sống trên phim chụp bụng nghiêng.
-Chụp cản quang đường mật qua da:ít dùng


-Chụp cản quang đường mật ngược dòng
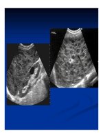
2-Siêu âm:
Là phương pháp tốt nhất để chẩn đoán xác định,chẩn đoán vị trí,đồng thời đánh giá
tình trạng đường mật và túi mật
-Hình ảnh điển hình của sỏi mật là: hình đậm âm kèm bóng cản nằm trong đường
mật hay túi mật,đồng thời đường mạt phía trên giãn
-Hình sỏi bùn; hình âm có đậm độ thay đổi,thường ít am hơn sỏi,nằm trong đường
mật hay túi mật,không kèm theo bóng cản,không thay đổi hình dạng khi thay dổi tư
thế người bệnh(trường hợp sỏi nằm trong túi mạt)
-Bùn mật:Thay đổi hình dạng khi thay dổi tư thế bệnh nhân và thường lắng đọng chỗ
thấp.
3-CT-
-CT được chỉ định khi :siêu am gặp khó khăn như;bệnh nhan to béo,bụng chướng
hơi,sỏi ở đoạn thấp của OMC,sỏi gây biến chứng
-Bệnh nhân có sỏi mật cần đánh giá tình trạng nhu mô gan,tình trạng đưòng mật để
có phương pháp điều trị, nhất là trong cắt gan.
-Sỏi đương mật thể hiện trên CT là hình tăng tỷ trọng nằm trong đường mật và
đường mật phía trên giãn.Các sỏi cholesterol đồng tỷ trọng với dịch mật.Các sỏi nhỏ
trên CT thương bị bỏ sót.
Sỏi trong túi mạt trên CT là hình tăng tỷ trọng nằm trong túi mật
IV_Chẩn đoán biến chứng của sỏi mật
1-Viêm túi mật cấp:
Đau hạ sườn phải,sốt,dấu hiệu Murphy dương tính
2-Viêm túi mật mãn:
Túi mạt thành dày,xơ teo,không đèu ,chứa sỏi,đoi khi không có dịch mật
Hình ảnh viêm túi mật sứ
3-Ung thư túi mật:
80% ung thư túi mật xuất hiện trên túi mật có sỏi hay túi mật sứ
4-Hội chứng Mirizzi:
Biến chứng của viêm túi mạt mãn tính do sỏi chèn ép vùng cổ túi mật,lâm sàng biểu

hiện vàng da tắc mật
5-Dò mật –ống tiêu hoá;
6-Chảy máu đường mật


×